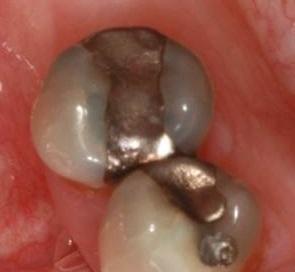
Amalgam
Amalgam (silver fillings) – After over a 150 years of use as a filling material dental amalgam is still the most cost effective, strong, and durable filling material available. Over 100 years of ongoing studies continue to confirm the safety of the material. No study has found a link to any health problems or disease process. Dental amalgam fillings are a mixture of Silver, Mercury, Copper, and Tin. The Mercury makes up approximately 50% of the mixture and is used to bind these metals together to make a hard durable structure. After the elements are mixed together the Mercury and other metals form a solid matrix. This changes the chemical nature of the Mercury making it effectively harmless.
If you would like to further research amalgam I would recommend these sites:
- http://www.knowyourteeth.com/infobites/abc/article/?abc=f&iid=286&aid=1242
- http://www.fda.gov/MedicalDevices/ProductsandMedicalProcedures/DentalProducts/DentalAmalgam/ucm171094.htm
The Advantages of Amalgam:
- Low Cost

- Long lasting
- Durable
- Resistant to future cavities
- Time – faster to place than composite (white fillings)
The Disadvantage to Amalgam:
- Not white, does not match the color of your teeth.
Meet Our Doctor:
Daren Hunt DMD
Daren Hunt, DMD is the son of Thomas J. Hunt DMD and the Grandson of Thomas M. Hunt DMD. He was born and raised in Florence, OR. He achieved his undergraduate degree from the University of Oregon in 2010 and Graduated from OHSU School of Dentistry in 2014. After Graduation his passion for dentistry has led him to complete over 300 hours of continuing education classes last year. Through this he has learned many advanced techniques. Including placement of Implants to restore missing teeth.
Dr. D. ...